View Pneumocephalus Mount Fuji Sign Pictures

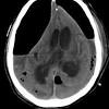
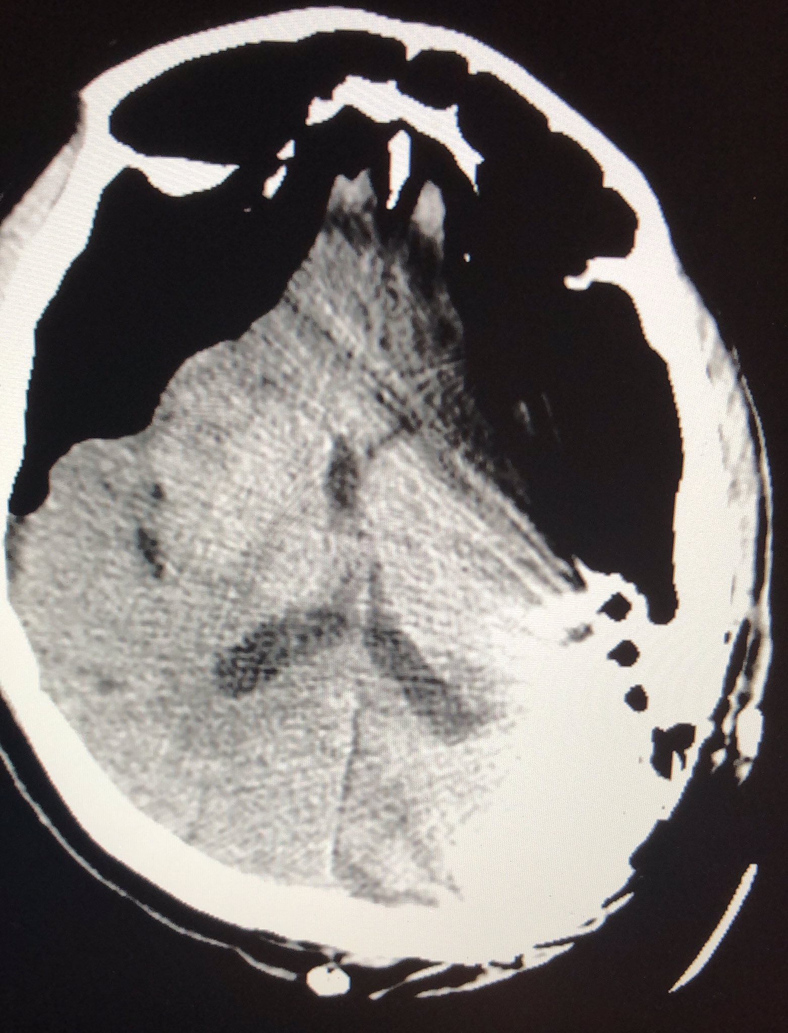
View Pneumocephalus Mount Fuji Sign Pictures. It is usually associated with disruption of the skull: Pneumocephalus is defined as the presence of intracranial air.

Post Traumatic Tension Pneumocephalus The Mount Fuji Sign Irish Medical Journal
Post Traumatic Tension Pneumocephalus The Mount Fuji Sign Irish Medical Journal from imj.ie
It is most commonly seen after surgical decompression of a chronic subdural hematoma. Sharing a case of tension pneumocephalus in continuing our radiology spotter series on damsdelhi channel on youtube. Tension pneumocephalus can be considered a neurosurgical emergency, unlike nontension pneumocephalus.

Note that subdural air separates and flattens the frontal lobes while widening the interhemispheric space.

1department of emergency medicine, chi mei medical center, tainan, taiwan. A rare case of spontaneous pneumocephalus associated with nontraumatic. The journal of emergency medicine, vol. The ct scan typically shows the mount fuji sign (the name is derived from a volcanic mountain in japan that is known for its symmetrical.